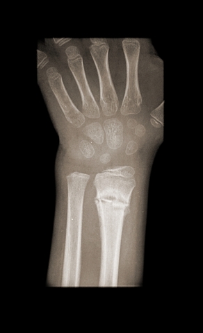
Jakaminen Sulje Röntgenkuva kädestä: sormi-, kämmen- ja ranneluut sekä kyynärluu (alh. vas.) sekä värttinäluu (alhaalla oikealla). Pysyvä osoite https://peda.net/id/H3Ltt Pysyvä tiedoston latausosoite https://peda.net/id/H3Ltt:file/download/25a9868dd38923d98657bbf58419dfc79ffe8d1b/murtunut_ranne_rongten.jpg Jakaminen muihin palveluihin Share this page to Facebook QR-koodi