Peda.net
Kirjaudu
Rekisteröidy
Heli Lengman-Lahti
Peda.net
>
Käyttäjät
>
Heli Lengman-Lahti
>
Viimeisin biologia Porin sivuilta
>
Biologiaa oppilailleni
>
Oppilaiden ottamia kuvia
Oppilaiden ottamia kuvia
Jaa
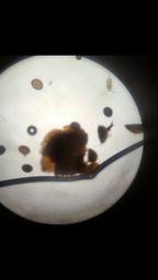
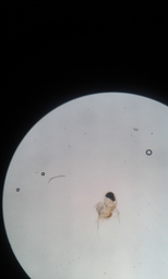
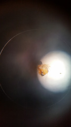
Planktonkuvia (7.lk)
Katselutila
Biologiaa oppilailleni
7. luokan biologia
8. luokan biologia
9. luokan biologia
Oppilaiden ottamia kuvia
Open blogi
Ohje kuvan lisäämiseen Peda.netiin älypuhelimesta
Ohjeita Socrative-kokeeseen
Tietoa tekijänoikeuksista
Konsteja oppimisen avuksi
Lähteiden merkitsemisestä
Esimerkki oppimispelistä
Vinkkejä esseevastauksen kirjoittamiseen
Miten voin tehostaa opiskeluani