Open blogi
8. luokan Tutkiva tiede -valinnaisaineen planktontutkimus
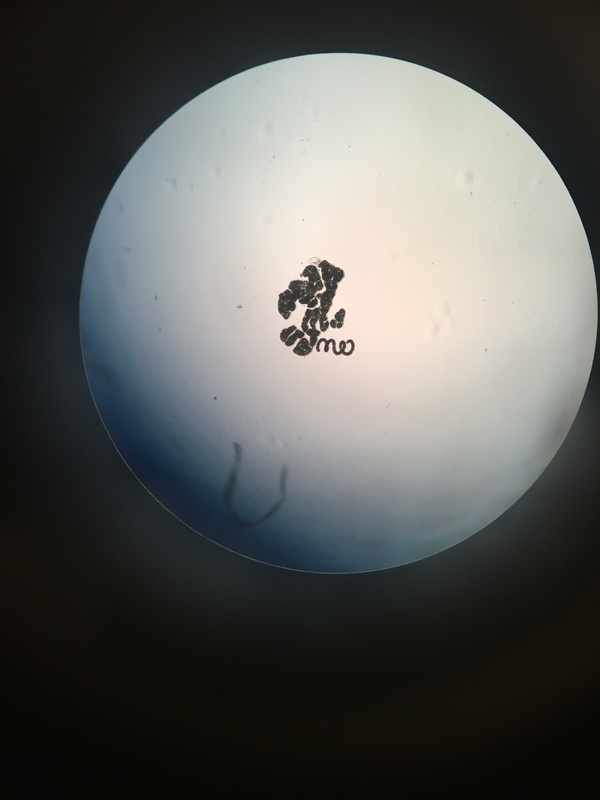
Molemmat Tutkivan tieteen ryhmät ottivat tänään planktonhaavilla vesinäytteitä Kokemäenjoesta. Koululla tutkimme valomikroskoopeilla vesipisaroiden eliöitä. Alla muutama mukava valokuvaotos oppitunnilta.

"Hei ope, täällä on haamu, joka hymyilee ja heiluttaa meille!"

Oho. No niinpäs onkin! Sinileväyhdyskunta pääsi yllättämään hauskalla tavalla! Kuva Jasmin Lehikoinen ja Eerika Erkintalo.

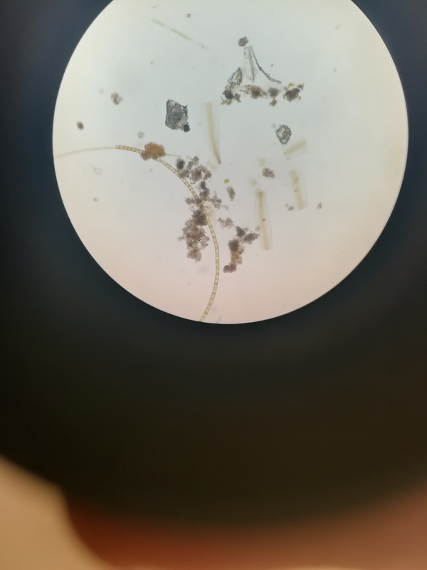
Erilaisia sinileviä eli sinibakteereita. Kuva Lauri Pakarinen.

Vesikirppu peitinlasin reunalla. Kuva Saana Männistö.

Mm. piileviä ja sinilevää. Kuva Saana Männistö.

Sinilevää. Kuva Saana Männistö.

Sinilevää. Kuva Jasmin Lehikoinen.

"Hei ope, täällä on haamu, joka hymyilee ja heiluttaa meille!"

Oho. No niinpäs onkin! Sinileväyhdyskunta pääsi yllättämään hauskalla tavalla! Kuva Jasmin Lehikoinen ja Eerika Erkintalo.
Erilaisia sinileviä eli sinibakteereita. Kuva Lauri Pakarinen.

Vesikirppu peitinlasin reunalla. Kuva Saana Männistö.

Mm. piileviä ja sinilevää. Kuva Saana Männistö.

Sinilevää. Kuva Saana Männistö.

Sinilevää. Kuva Jasmin Lehikoinen.
Mitä kasvatetuille kasveille kuuluu?
Arvoimme keväällä kasvatetut taimet asiasta innostuneiden oppilaiden kotikasvatukseen. Kesän kuluessa moni kasvi oli kasvanut hienosti.
Tässä kotioloissa hyvässä kasvussa oleva mehikasvi (kuva Sofia Alahäivälä):

Mysteerikasvi mehikasvisiemenpussista, oppilaiden nimeämänä tuttavallisesti Paavo Väyrynen (kuvat Saana Männistö, alkukesä, loppukesä):


Tässä kotioloissa hyvässä kasvussa oleva mehikasvi (kuva Sofia Alahäivälä):

Mysteerikasvi mehikasvisiemenpussista, oppilaiden nimeämänä tuttavallisesti Paavo Väyrynen (kuvat Saana Männistö, alkukesä, loppukesä):


Mehikasvien kotiuttaminen
Seiskojen kanssa koko syksyn jatkunut mehikasvien kasvatusprojekti siirtyi asiasta innostuneiden oppilaiden koteihin. Pimeä vuodenaika aiheutti valonpuutetta ja tuleva joululoma olisi aiheuttanut kuivahtamista. Taimilla on paremmat mahdollisuudet selvitä oppilaiden hyvässä hoidossa kotioloissa.
Pyydämme koulun kevään budjetista kasvivalot tuleviin kasvatusprojekteihin. Ilman niitä ei talvikasvatus onnistu. Mehikasvien siemenet itivät kiitettävästi ja kasvu lähti hyvin käyntiin. Niitä voi siis suositella muihinkin kouluihin kasvatettaviksi, jos on innokkuutta seurata kasvien kasvua pidemmällä aikajänteellä.
Pyydämme koulun kevään budjetista kasvivalot tuleviin kasvatusprojekteihin. Ilman niitä ei talvikasvatus onnistu. Mehikasvien siemenet itivät kiitettävästi ja kasvu lähti hyvin käyntiin. Niitä voi siis suositella muihinkin kouluihin kasvatettaviksi, jos on innokkuutta seurata kasvien kasvua pidemmällä aikajänteellä.




